Résultats soins en médecine esthétique du Docteur Barry
Galerie Avant-Après
Chez le Dr Barry, la priorité est l’obtention de résultats visibles, naturels et parfaitement adaptés aux besoins de chaque patient. Grâce à des studios photo professionnels intégrés au sein des Centres, le suivi de l’évolution des traitements est réalisé de manière rigoureuse et objective. Cette approche méthodique permet une évaluation précise des résultats, dans une démarche scientifique et médicale. Vous découvrirez ici quelques exemples de résultats obtenus chez les patients pris en charge par le Dr Barry.
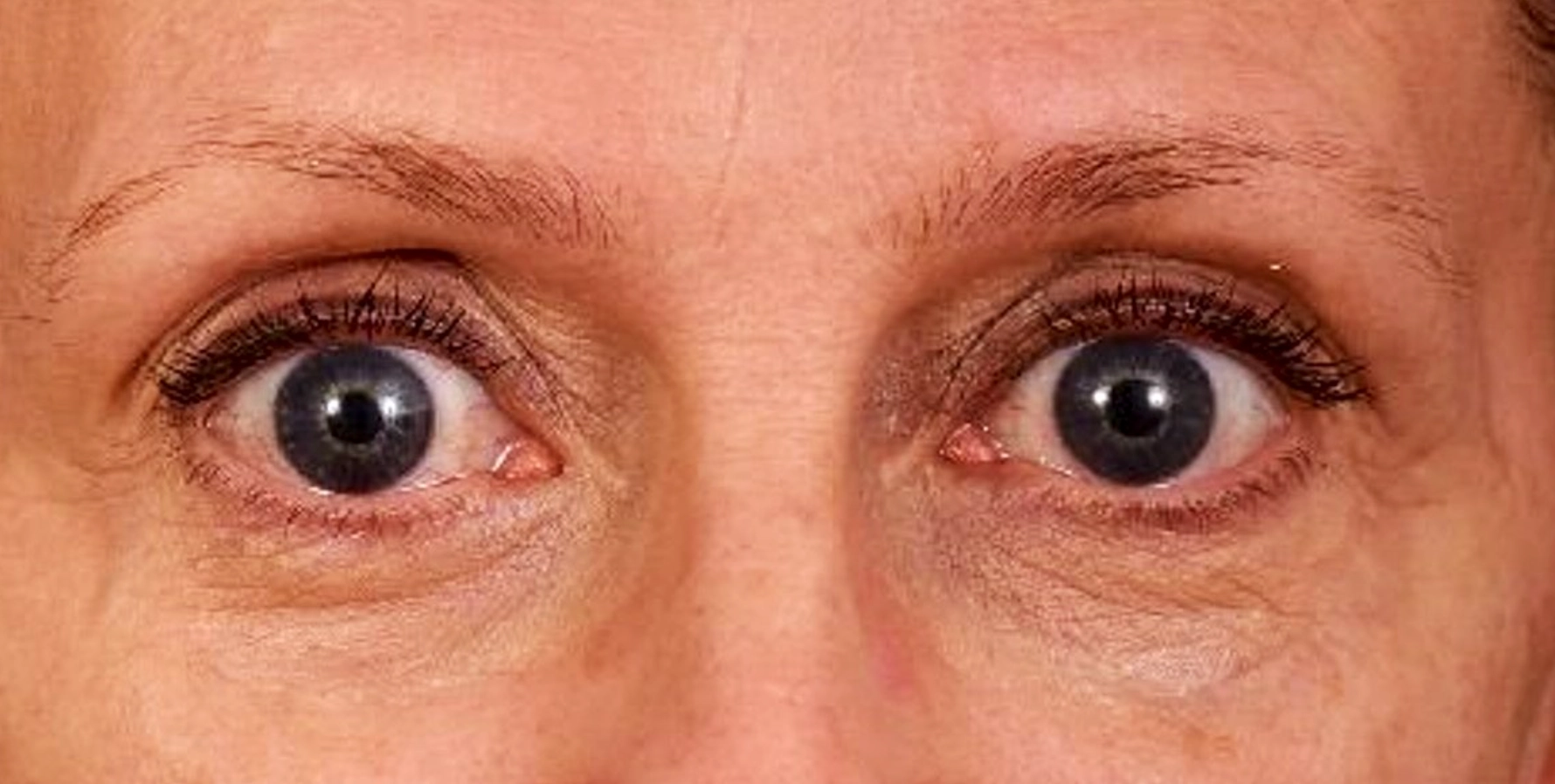
Le Regard
Regard
TRAITEMENT DU REGARD FATIGUÉ – ACIDE HYALURONIQUE
Atténuer les cernes et redonner de l’éclat au regard

Avant

Après
Regard
Traitement réalisé en une séance avec PLEXR
Souhait de retrait du xanthélasma (accumulation de lipides dans le derme – cholestérol).

Avant

Après
Regard
REGARD FATIGUÉ et SÉVÈRE
Sourcils asymétriques, ride de la glabelle, cernes creux foncés.

Avant

Après
Regard
TRISTE et FATIGUÉ
Oeil creux, poches graisseuses, cernes creux, rides de la glabelle

Avant

Après
Regard
REGARD TRISTE et FATIGUÉ
Paupière très relâchées et colorées

Avant

Après
Regard
PLEXR – REGARD TOMBANT ET XANTHÉLASMA
Paupières lourdes, souhait d’un regard plus ouvert et retrait du xanthélasma.

Avant

Après
Regard
REGARD FATIGUÉ et RELÂCHÉ
Poches graisseuses, cernes creux, sourcils tombants

Avant

Après
Regard
REGARD FATIGUÉ
cernes creux

Avant

Après
La Bouche
Bouche
LÈVRES AFFINÉES, PERTE DE DÉFINITION,
COMMISSURES TOMBANTES, RIDULES ET RIDES D’AMERTUME
Résultat immédiat post injection

Avant

Après
Bouche
CORRECTION DE LÈVRES FINES ET ASYMÉTRIQUES
Léger volume pour redessiner la lèvre supérieure en douceur

Avant

Après
Bouche
VOLUME & DESSIN DES LÈVRES
Souhait de plus de volume et de dessin, n’aime pas les rides de la lèvre blanche

Avant

Après
Bouche
LÈVRE SUPÉRIEURE TROP FINE

Avant

Après
Bouche
RÉHYDRATATION DES LÈVRES ET COMMISSURES TOMBANTES
AVEC DE L’ACIDE HYALURONIQUE

Avant

Après
Bouche
REDEFINIR LE DESSIN DES LÈVRES – ACIDE HYALURONIQUE
Souhait de retrouver du dessin tout en restant naturel
Résultat immédiat post injection

Avant

Après
L’Ovale et le menton
L’Ovale
DÉFINITION DE L’ANGLE MANDIBULAIRE
Renforcer la structure et la netteté de la mâchoire masculine

Avant

Après
L’Ovale
MENTON ET LIGNE MANDIBULAIRE REDESSINÉS POUR UN AIR PLUS MASCULIN

Avant

Après
Le Menton
MENTON RETRU AVEC LE MUSCLE DU MENTALIS PUISSANT

Avant

Après
L’Ovale
REDÉFINITION DE LA LIGNE MANDIBULAIRE
Souhait de retrouver le contour de son visage (ovale )

Avant

Après
Le Menton
REDÉFINITION DU MENTON : ACIDE HYALURONIQUE
Améliorer la projection et la forme du menton tout en conservant un rendu harmonieux

Avant

Après
Le Relâchement
Le Relâchement
Traitement du relâchement du visage par acide hyaluronique

Avant

Après
Le Relâchement
UN AIR SÉVÈRE, COMMISSURES TOMBANTES,
LE SOUHAIT D’AVOIR UN VISAGE PLUS DOUX

Avant

Après
Le Relâchement
VOUS ÊTES UN(E) SPORTIF/VE AUX JOUES CREUSES
IL EST POSSIBLE DE LES COMBLER AVEC DE L’ACIDE HYALURONIQUE

Avant

Après
Le Relâchement
UN AIR TRISTE, RELACHÉ, COMMISSURES TOMBANTES

Avant

Après
Les cheveux
Les cheveux
CHUTE DE CHEVEUX, CHEVEUX FIN ET TERNE

Avant

Après
Les cheveux
DÉBUT D’ALOPÉCIE PRÉCOCE

Avant

Après
Visage & Corps
Le Visage
COOL MINI – COOLSCULPTING
Souhait d’affiner le double menton et d’éliminer l’excès de graisse localisé.

Avant

Après
Le Visage
COOL MINI – COOLSCULPTING
Souhait d’affiner le bas du visage en réduisant l’excès de graisse du double menton.

Avant

Après
Le Corps
NON !!! AUX BRAS CHAUVE-SOURIS, MERCI COOLSCULPTING

Avant

Après
Le Corps
LA RÉSISTANCE MALGRÉ LE SPORT

Avant

Après
Le Corps
COOLSCULPTING
Souhait d’affiner les hanches et de retrouver un ventre plus plat.

Avant

Après
La Peau
La Peau
PERTE DE DENSITÉ SUR LES JOUES

Avant

Après
La Peau
TRAITEMENT DE L’ACNÉ CHEZ ADOLESCENT
Nettoyage de peau et séances LED

Avant

Après
La Peau
Nettoyage de peau médical avec LED et peelings
Souhait de retrouver une peau saine et équilibrée

Avant

Après
La Peau
VOUS AVEZ LE TEINT TERNE ?! NOUS ALLONS LUI DONNER DE LA LUMIÈRE

Avant

Après
La Peau
KLERESCA ROSACÉE EST LA POUR AMÉLIORER LA MICRO-VASCULARISATION
ET RÉDUIT LA SENSATION DE BRULURE ET DE PICOTEMENT

Avant

Après
La Peau
PEELING MOYEN MÉDICAL
Une peau plus lisse, plus lumineuse, plus jeune

Avant

Après
La Peau
ACNÉ SÉVÈRE, CICATRICES (traitements combinés )
Nettoyage de peau / Peeling / Laser CO2

Avant

Après
La Peau
UN REGRET ? UN TATOUAGE RATÉ ?
CHEZ BEAUXMONTS ON LES EFFACE

Avant

Après
La Peau
RÉDUCTION DE LA PILOSITÉ MENTONNIÈRE
Séance de LASER Alexandrite clarity II

Avant

Après